
Lungebetennelse
Lungebetennelse, eller pneumoni, er en nedre luftveisinfeksjon som setter seg i lungene. Typiske symptomer er tung pust, hoste, og brystsmerter. Et forebyggende tiltak mot alvorlig lungebetennelse og pneumokokksykdom, er vaksinering. Vaksine kan settes hos Vitusapotek.
Hva er en lungebetennelse?
Lungebetennelse er en infeksjon i en eller begge av kroppens lunger. Infeksjonen kan komme av både bakterier og virus, men skyldes oftest bakterier (ofte pneumokokker). Lungene våre består av mange små blærer (lungealveoler) som sikrer at kroppen tar opp oksygen og kvitter seg med karbondioksid.
Ved lungebetennelse kan alveolene få problemer med å utføre denne viktige oppgaven, og tung pust blir resultatet. Jo kraftigere infeksjonen er, jo vanskeligere blir det å puste.
Ulike typer lungebetennelse
Lungebetennelse kan oppstå av flere ulike årsaker, og typen infeksjon har betydning for både symptomer og behandling. De vanligste formene er bakteriell lungebetennelse, viral lungebetennelse og mykoplasma-lungebetennelse.
Bakteriell lungebetennelse
Dette er den vanligste formen for lungebetennelse. Den oppstår som regel akutt, ofte med høy feber, frysninger, hoste med oppspytt, tung pust og smerter i brystet. Bakteriell lungebetennelse behandles som oftest med antibiotika.
Viral lungebetennelse
Viral lungebetennelse kan utvikle seg som en komplikasjon etter andre luftveisinfeksjoner, for eksempel influensa. Symptomene er gjerne mer gradvise og kan ligne på forkjølelse eller influensa, men med økende hoste og pustevansker. Antibiotika har ingen effekt på virus, og behandlingen består som regel av hvile og symptomlindring.
Mykoplasma-lungebetennelse
Mykoplasma-lungebetennelse skyldes bakterien Mycoplasma pneumoniae og gir ofte et mildere og mer langvarig sykdomsforløp enn vanlig bakteriell lungebetennelse. Den rammer særlig barn og unge voksne, og symptomene kan starte som en vedvarende tørrhoste, lett feber og slapphet. Behandling kan være aktuelt med spesifikke typer antibiotika.
Symptomer på lungebetennelse
De fleste som får lungebetennelse, blir ikke alvorlig syke. Sykdommen kan starte som en forkjølelse, og symptomene kan ligne på hverandre. Det vanligste tidlige tegnet er plagsom hoste, som senere kan følges av tung pust og feber etter omtrent en uke.
Symptomene kan variere, men mest typisk er:
- Hoste.
- Tung pust.
- Feber.
- Nedsatt allmenntilstand.
- Knatrelyder i lungene.
- Brystsmerter som gjerne forverres ved hoste, dyp pust eller i spesielle stillinger.
- Slim (kan være farget).
- Hvis man får symptomer på lavt oksygenopptak, må man kontakte 113 øyeblikkelig. Dette kan vise seg som blå lepper eller negler, eller forvirring.
Hos eldre, personer med svekket immunforsvar eller kroniske lungesykdommer kan lungebetennelse bli alvorlig, med tung pust, kraftig hoste, blodig slim, høy feber og brystsmerter. Men også ellers friske kan rammes. De fleste alvorlige tilfeller skyldes bakterier av typen pneumokokker.
Hvordan stilles diagnosen?
Diagnosen lungebetennelse stilles på bakgrunn av en kombinasjon av symptomer, klinisk undersøkelse og eventuelle tester. Målet er å vurdere om infeksjonen sitter i lungene, og om den er forårsaket av bakterier eller virus.
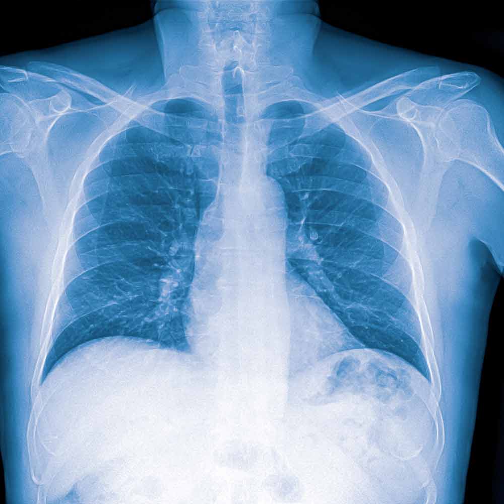
CRP, røngten og klinisk undersøkelse
Legen starter med en klinisk undersøkelse, der det blant annet lyttes på lungene med stetoskop for å høre etter knatrelyder eller redusert pustelyd. I tillegg tas ofte en blodprøve (CRP), som kan gi en pekepinn på om infeksjonen er bakteriell eller viral – høye verdier taler ofte for bakterieinfeksjon. Dersom diagnosen er usikker, eller hvis pasienten er i en risikogruppe, kan det være aktuelt med røntgen av lungene for å bekrefte lungebetennelsen.

Lungebetennelse kan ses som et hvitt område på røntgenbilde av lungene.
Hvordan kan legen skille lungebetennelse fra forkjølelse eller bronkitt?
Symptomer på forkjølelse, bronkitt og lungebetennelse kan ligne på hverandre, men det finnes viktige forskjeller. Forkjølelse gir ofte rennende nese, sår hals og lett hoste, mens bronkitt vanligvis gir langvarig hoste med slim, men uten høy feber eller tung pust. Lungebetennelse gir oftere høy feber, frysninger, tung pust, brystsmerter og redusert allmenntilstand. Ved å kombinere symptomene med funn fra klinisk undersøkelse, CRP og eventuelt røntgen, kan legen vurdere om det dreier seg om en lungebetennelse som krever behandling.
Hva øker risiko for lungebetennelse?
- Alder over 65 år
- Underernæring
- Røyking
- Nylig gjennomgått luftveisinfeksjon eller bronkitt på grunn av virus
- Svekket hosterefleks som følge av høyt alkoholforbruk, hjertesykdom, hjerneslag eller høy alder
- Redusert immunforsvar eller nedsatt allmenntilstand
- KOLS, Astma eller andre lungesykdommer
- Underliggende sykdommer som diabetes eller hjertesykdom
- Svakt immunsystem grunnet HIV, organtransplantasjon, kreftbehandling, eller langvarig bruk av steroider.
Forebyggende tiltak mot lungebetennelse
Det finnes flere tiltak som kan bidra til å redusere risikoen for lungebetennelse. Mange av disse handler om gode hverdagsvaner og egenomsorg som styrker immunforsvaret og beskytter mot smitte.
|
Tiltak |
Hvorfor det hjelper |
|
God håndhygiene |
Reduserer risikoen for å overføre virus og bakterier via hender og kontaktflater. |
|
Unngå nærkontakt med syke |
Minsker sannsynligheten for å bli smittet av luftveisinfeksjoner som kan utvikle seg til lungebetennelse. |
|
Fysisk aktivitet og sunt kosthold |
Bidrar til å styrke immunforsvaret og holde kroppen mer motstandsdyktig mot infeksjoner. |
|
Røykeslutt |
Bedrer lungefunksjonen og reduserer risikoen for infeksjoner i luftveiene. |
For enkelte grupper kan det i tillegg være aktuelt med vaksine som beskyttelse mot lungebetennelse.
Vaksine mot lungebetennelse
Et forebyggende tiltak mot lungebetennelse og pneumokokksykdom er vaksine, og utsatte personer og personer i risikogruppen kan vaksinere seg. Les mer om hvem som er anbefalt å ta denne vaksinen på Folkehelseinstituttets sider.
Hos Vitusapotek setter vi vaksiner.
Du kan bestille time for vaksinering i Helseboka eller velge drop-in i apoteket.
Bestill time for vaksinering i Helseboka
Hva koster vaksinering i apoteket?
Det koster 200 kr å sette vaksinen i apoteket.
I tillegg kommer prisen på den vaksinen du ønsker å sette og pris for selve resepten på vaksinen.
Pris for vaksine får du oppgitt i apoteket eller du kan finne den på felleskatalogen.no.
Pris for resepten betaler du der du bestiller resepten din fra.
Som medlem av VI+ kundeklubb får du 1000 bonuspoeng når du benytter deg av våre vaksinetjenester i apotek. Les mer om alle fordelene du får som VI+ medlem her.
Vaksine kan også settes hos fastlegen din og/eller i kommunehelsetjenesten. Egenandelen du betaler for å sette vaksine der er som regel lavere enn i apotek.
Les alt om vaksine og vaksinasjon i apotek her.
Mer om lungebetennelse
Når vi puster inn, møter luftveiene hele tiden bakterier og virus. Kroppen har flere forsvar, som nese, flimmerhår, hoste og immunsystemet, som vanligvis hindrer oss i å bli syke.
Hvis kroppens immunforsvar er svekket eller man blir infisert av en veldig smittsom eller et stort antall av bakterier eller virus, kan det være at disse organismene kommer seg forbi kroppens forsvarssystemer og havner nede i lungene, i alveolene, der de utløser betennelse.
Dette gir symptomene på lungebetennelse.
Hvordan smitter lungebetennelse?
Lungebetennelse med virus smitter ved at en som er syk hoster eller nyser i nærheten av deg. Den typen lungebetennelse som skyldes bakterier, kommer ofte av bakterier som vi fra før har i munnhulen. Derfor er det ikke egentlig snakk om smitte.
Alle kan få lungebetennelse, men det rammer ofte mennesker som fra før av er svekket eller har nedsatt immunforsvar. Sykdommen opptrer hyppigst om vinteren.
Behandling
Lungebetennelse kan skyldes både virus og bakterier. De fleste lungebetennelser som skyldes virus går over av seg selv uten behov for spesifikk behandling. I noen tilfeller kan antivirale legemidler være aktuelt. Hostedempende medisiner anbefales vanligvis ikke, fordi de kan hindre at slim løsner og hostes opp fra luftveiene. Dersom hosten er tørr, vedvarende og plagsom om natten, kan legen likevel vurdere en kortvarig behandling med hostedempende midler. En virusinfeksjon skal ikke behandles med antibiotika, fordi antibiotika ikke virker mot virus.
Når trengs antibiotika?
Dersom lungebetennelsen er forårsaket av bakterier det vanlig å behandle med antibiotika i ca. 7-10 dager. Ved bruk av antibiotika er det viktig at tablettene fordeles jevnt utover dagen og at hele kuren fullføres slik legen har forskrevet. Dersom du ikke fullfører kuren kan infeksjonen komme tilbake, og den kan også bli vanskeligere å behandle da bakterier kan utvikle resistens mot antibiotika. Ved manglende effekt etter noen dager med den første antibiotika er det vanlig å bytte behandling.
Hva kan du gjøre selv?
- Sørg for ro og hvile. Lett fysisk aktivitet anbefales når du er bedre, men ikke press deg.
- Dersom du har feber er det viktig å drikke rikelig, for å unngå dehydrering.
- Unngå røyk. Røyk øker risiko for en ny lungebetennelse og skader lungene.
- Unngå å være ute i kaldt vær.
- Ved smerte og feber kan paracetamol (Paracet) eller ibuprofen (Ibux) hjelpe. Følg alltid pakningsvedlegget eller råd fra legen.
Prognose
Lungebetennelse varer som regel 1–2 uker, men tiden til man er helt frisk varierer. Unge og friske blir ofte raskere bedre, mens eldre og personer med dårlig helse kan bruke måneder. Sykdommen kan i noen tilfeller bli svært alvorlig. Derfor er det viktig å oppsøke lege ved uttalte symptomer.
Når bør du kontakte lege ved lungebetennelse?
- Dersom du har symptomer på lungebetennelse og allmenntilstanden er dårlig.
- Dersom du har vedvarende hoste eller høy feber over flere dager.
- Dersom du har problemer med å puste eller har smerter i brystet.
- Ved blå lepper eller negler.
- Ved forvirring.
- Dersom du er i en av risikogruppene for alvorlig lungebetennelse, og ønsker vaksinering.
FAQ
Q: Hvordan vet man om det er lungebetennelse?
A: Lungebetennelse gir ofte symptomer som høy feber, frysninger, hoste, tung pust, brystsmerter og redusert allmenntilstand. Det kan være vanskelig å skille fra forkjølelse eller bronkitt, så diagnosen bør stilles av lege ved undersøkelse og eventuelt blodprøver eller røntgen.
Q: Hvor høy er CRP ved lungebetennelse?
A: CRP (C-reaktivt protein) kan variere ganske mye ved lungebetennelse. Om lungebetennelsen er forårsaket av virus, er CRP ofte lavt til moderat forhøyet. Ved bakterieinfeksjon kan CRP være høyere.
Q: Kan jeg gå på jobb eller skole med lungebetennelse?
A: Nei, du bør ikke gå på jobb eller skole med lungebetennelse. Kroppen trenger hvile for å bekjempe infeksjonen. Når du har vært feberfri noen dager og almenntilstanden er god, kan du være ute og eventuelt gå tilbake til jobb eller skole.
Q: Hvordan høres hosten ut ved lungebetennelse?
A: Ved lungebetennelse er hosten ofte kraftig og dyp. Den kan først være tørr, men blir gjerne slimete etter hvert, og slimet kan være gult eller grønt. Noen får også vondt i brystet når de hoster.
Q: Kan tørrhoste være lungebetennelse?
A: Ja, det kan det. Lungebetennelse starter noen ganger med tørrhoste, spesielt tidlig i sykdommen. Etter hvert blir hosten ofte mer slimete, men det er ikke alltid.
Q: Hva er forskjellen på lungebetennelse og bronkitt?
A: Bronkitt er en infeksjon i luftrørene og gir mest hoste uten høy feber, mens lungebetennelse er i selve lungevevet og gir ofte høy feber, tung pust og mer sykdomsfølelse.
Kilder: Norsk helseinformatikk for helsepersonell, Helsenorge, Folkehelseinstituttet, Helsebiblioteket, Store medisinske leksikon, Felleskatalogen, UptoDate.
Les mer: